Zaalverhuur
Techniektijdschrift De Ingenieur
Terugblik Dag van de Ingenieur 2025
Agenda
Communities
Vakafdelingen
Regionale afdelingen
Kringen
Studenten
Young KIVI Engineers
Netwerk Vrouwelijke Ingenieurs
Chartered Engineering
Actuele thema's
Online Communities
Maatschappelijke impact
Awards & onderscheidingen
Samenwerkingen & netwerken
Vertegenwoordiging KIVI
KIVI Experts
KIVI Academy
Coaching
Leven lang ontwikkelen
Studie- en Reisfonds
Lidmaatschap
Direct lid worden
Ledenvoordelen
Lidmaatschap
Collectief lidmaatschap
Geef een lidmaatschap cadeau
Actualiteit
Activiteiten
Nieuws
Nieuwsbrieven
Techniektijdschrift De Ingenieur
Dag van de Ingenieur 2026
Over KIVI
Organisatie
Kernactiviteiten
Visie en missie
Historie KIVI
Vacatures
Ledenboek
Zaalverhuur
Adverteren
Zoeken
Inloggen
Word lid
Menu
Sluiten
Nieuws
Home
Nieuws
Categorieën
63
Advising
Arbeidsmarkt
Astronomie
Big Data Science
Biotechnologie
Bouw / Infra
Bouwkunde
Chemie
Circulaire economie
Civiele techniek
Commercie
Consultancy / Advies
Defensie
Delta
Design
Duurzaamheid
Energie
English
Elektrotechniek
Filosofie / Ethiek
Financieel
Hightech
Hydrologie
Gezondheidszorg
ICT
Inkoop
Innovatie / innovatiebeleid
KIVI-bestuur
Kunstmatige intelligentie / Robotica
Kwaliteit
Landbouw
Leefomgeving
Lucht- en ruimtevaart
Maakindustrie
Maintenance
Maritiem
Materialen
Mobiliteit
Netwerk
Offshore
Onderwijs
Onderhoud
Onderzoek
Ontwikkelingslanden
Overheid
Persoonlijke vaardigheden
Product management
Project management
Safety
Sport
Studentencampagne
Teamleader
Techniek
Techniek in de media
Traineeship
Vastgoed
Vakkennis
Veiligheid
Voeding
Water
Waterschap
Werktuigbouwkunde
Wetenschap
Filter
Wis filters
7 oktober 2017
PostBOT assisteert postbode
6 oktober 2017
Supercomputer herkent hersentumoren
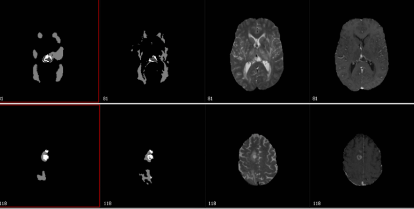
6 oktober 2017
'Kunstmatige bladeren' in zicht dankzij nieuw materiaal
6 oktober 2017
Weekend van de Wetenschap morgen en overmorgen
6 oktober 2017
CO2-arme industrie ligt binnen handbereik
6 oktober 2017
Offshore Energy Exhibition & Conference (9 - 11 October)
5 oktober 2017
Proef de Circulaire Economie tijdens het KIVI-jaarcongres
5 oktober 2017
KIVI-0070Lab gestart
5 oktober 2017
Infotainment in auto’s steeds gevaarlijker
5 oktober 2017
Ingenieursvereniging opent 0070-cyberlab
1
...
607
608
609
610
...
907
Op de hoogte blijven van nieuws, actualiteiten en evenementen en de laatste KIVI-activiteiten?
Naam
*
E-mailadres
*
Vakdiscipline
*
Kies vakdiscipline
Biomedische techniek
Biotechnologie
Bouwkunde en stedenbouw
Chemische technologie
Civiele techniek
Electrotechniek
Embedded system
Energietechnologie
Geotechniek
Hydrologie
Industrieel Ontwerpen
Informatica / ICT
Landbouwtechnologie
Landschapsarchitectuur
Logistiek en transportkunde
Lucht- en ruimtevaarttechnologie
Maritieme techniek
Materiaalkunde
Mechatronica
Meet-, regel- en besturingstechnologie
Milieutechnologie
Nanotechnologie
Offshore
Procestechnologie
Robotica
Systeemtechniek
Technische aardwetenschappen
Technische bedrijfskunde
Technische bestuurskunde
Technische geneeskunde
Technische natuurkunde
Technische wiskunde
Telematica
Verkeerstechnologie
Voedseltechnologie
Voertuigtechniek
Werktuigbouwkunde
Anders
Versturen
Zaalverhuur
Techniektijdschrift De Ingenieur
Terugblik Dag van de Ingenieur 2025
Agenda
Communities
Vakafdelingen
Regionale afdelingen
Kringen
Studenten
Young KIVI Engineers
Netwerk Vrouwelijke Ingenieurs
Chartered Engineering
Actuele thema's
Online Communities
Maatschappelijke impact
Awards & onderscheidingen
Samenwerkingen & netwerken
Vertegenwoordiging KIVI
KIVI Experts
KIVI Academy
Coaching
Leven lang ontwikkelen
Studie- en Reisfonds
Lidmaatschap
Direct lid worden
Ledenvoordelen
Lidmaatschap
Collectief lidmaatschap
Geef een lidmaatschap cadeau
Actualiteit
Activiteiten
Nieuws
Nieuwsbrieven
Techniektijdschrift De Ingenieur
Dag van de Ingenieur 2026
Over KIVI
Organisatie
Kernactiviteiten
Visie en missie
Historie KIVI
Vacatures
Ledenboek
Zaalverhuur
Adverteren